Fußchirurgie

Fehlstellungen

Spungelenksverletzungnen

Hallux Valgus

Im Rahmen der Fußchirurgie wird die Behandlung aller angeborenen und und erworbenen Fußdeformitäten angeboten. Dazu zählt am häufigsten der Hallux Valgus oder andere Vorfußdeformitäten, aber auch Fehlstellungen des Rückfußes. 

Verletzungen betreffen am häufigsten das Sprunggelenk. Hier spielen Verletzungen des Kapsel-Bandapparates und knöcherne Läsionen eine Rolle. In speziellen Fällen kommen auch Knorpelregenerative  Verfahren zur Anwendung werden.

Zunächst steht natürlich wie vor jedem operativen Eingriff die konservative Therapie im Vordergrund, auch die Einlagen- und Schuhtechnische Versorgung. Sollten diese Maßnahmen nicht zu einer ausreichenden Schmerzreduktion und Funktionsverbesserung führen, können operative Behandlungen sinnvoll sein.

Im Rahmen einer Vorstellung in der Sprechstunde kann das individuelle Behandlungkonzept erarbeitet werden.

Röntgen Fußchirurgie
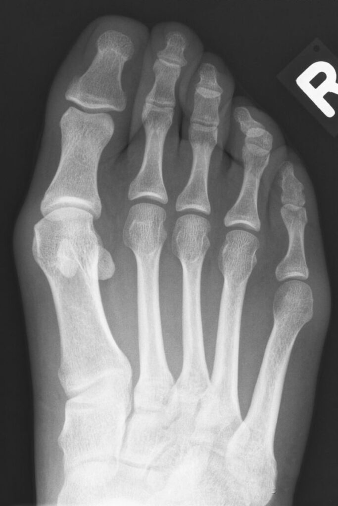
ausgeprägter Hallux Valgus
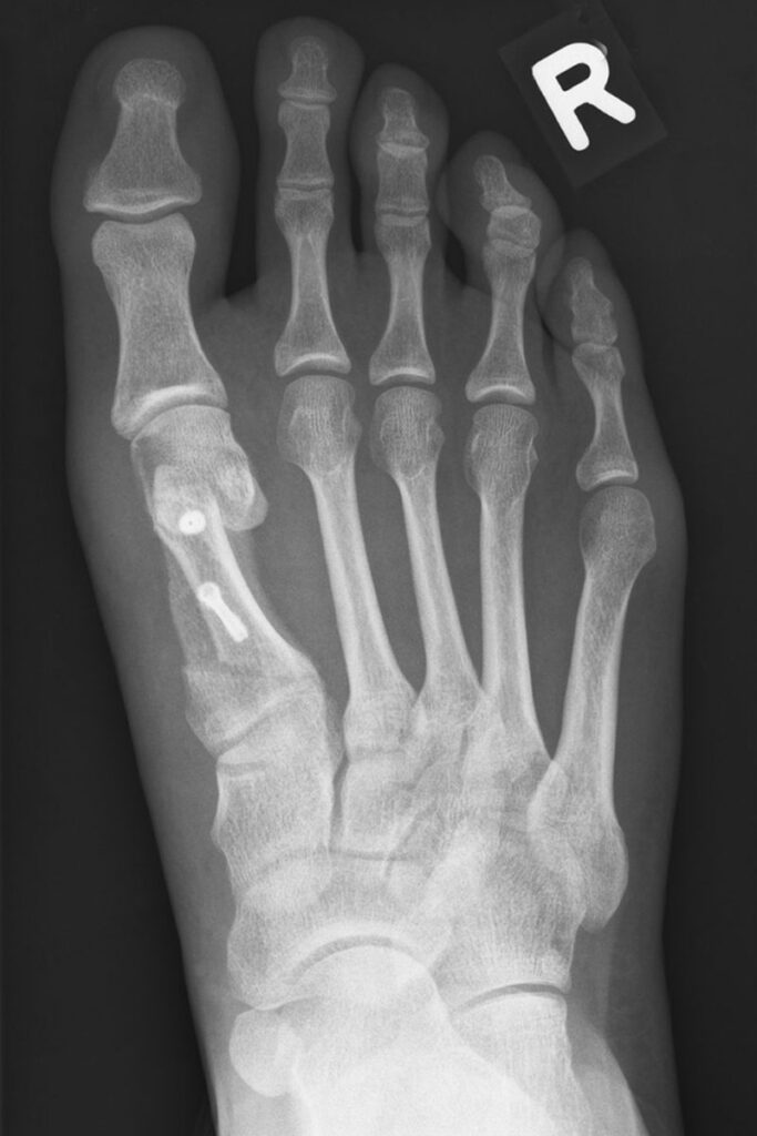
Fußchirurgie Röntgen nach Scarf
nach Operation (Scarf-Osteotomie)