Schulterchirurgie

Impingement

Rotatorenmanschette

Arthrose

Das Schultergelenk nimmt eine Sonderstellung ein, da es sich nicht um ein mit dem gesamten Körpergewicht belastetes Gelenk handelt und ferner einen großen Bewegungsradius ermöglicht. Besonders wichtig ist dabei das Zusammenspiel der Gelenkflächen und des komplexen Weichteilmantels, u.a. der Rotatorenmanschette.

Es können unterschiedliche Krankheitsbilder vorliegen, die zu Schmerzen und Funktionseinschränkungen des Schultergelenkes führen. 

Bei Beschwerden im Bereich des Schultergürtels wird im Rahmen eines Termins in der Sprechstunde durch ein Untersuchung evaluiert, welche Funktionseinschränkung vorliegt und dann entschieden, welche bildgebenden Maßnahmen zu Vervollständigen des individuellen Befundes erforderlich sind. Dabei stehen die Röntgenuntersuchung, Ultraschall und Kernspintomographie zur Verfügung.

Im Vordergrund der operativen Therapie, die in der Regel erst nach Ausreizen konservativer Maßnahmen in Frage kommt – stellt die Rekonstruktion des Weichteilmantels im Vordergrund. Erst bei fortgeschrittener Arthrose kommt der Gelenkersatz in Frage.

Hinzutreten Verletzungen des Schultergürtels wie z.B. Schlüsselbeinfrakturen, Schultereckgelenksprengung, Luxationen und Oberarmkopffrakturen.

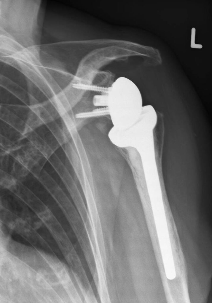
Als moderne Variante des Schultergelenksatzes kommt dem Oberflächenersatz des Schultergelenkes eine immer größere Bedeutung zu: er ermöglicht eine anatomische Rekonstruktion verbunden mit einer sehr guten Funktion.

Es werden alle rekonstruktiven und gelenkersetztenden Eingriffe angeboten. Nehmen sie für eine Beratung Kontakt mit uns auf. 

Röntgen Schulterchirurgie